Khi cơ thể mắc bệnh thì không chỉ ảnh hưởng ở một cơ quan nhất định mà chúng sẽ gây ra những tổn hại đến các bộ phận khác. Có bao giờ bạn tự hỏi tại sao đã vệ sinh răng miệng kĩ lưỡng, đánh răng thường xuyên... mà chúng lại xuất hiện những dấu hiệu bất thường, đáng lo ngại? Rất có thể đó là lời cảnh báo của nhiều bệnh lý tiềm ẩn bên trong.
Bài viết dưới đây sẽ chia sẻ những biểu hiện bệnh thông qua răng miệng để bạn tham khảo và phòng chữa bệnh kịp thời.
Đái tháo đường
Nướu đỏ, sưng và chảy máu là dấu hiệu của bệnh viêm nha chu, một tình trạng răng miệng cực kỳ phổ biến do vi khuẩn gây ra từ các thức ăn bám vào răng, tạo mảng bám. Nhưng đối với những người mắc bệnh tiểu đường thì tình trạng viêm nhiễm này xảy ra nghiêm trọng hơn do lượng đường trong máu không ổn định làm ảnh hưởng đến chức năng của mô mềm hỗ trợ sức khỏe răng miệng. Theo các báo cáo, người mắc bệnh tiểu đường có nguy cơ phát triển viêm nha chu gấp 3 lần so với thông thường.

Nếu bạn thường gặp các vấn đề như sưng nướu, đau nhức và hay chảy máu răng thì nên đến bác sĩ để kiểm tra lượng đường trong máu. Bên cạnh đó, ngoài tiểu đường thì nguy cơ của những cơn đau tim, đột quỵ cũng có thể xuất hiện kèm theo các hiện tượng viêm, nhiễm ở nướu răng nữa đấy.
Trào ngược axit
Trong một số trường hợp, hơi thở xuất hiện mùi hôi kéo dài có thể báo hiệu những vấn đề sức khỏe như trào ngược dạ dày thực quản (GERD). Đây là tình trạng dịch dạ dày chảy ngược vào thực quản, gây ra các triệu chứng điển hình như ợ nóng, nóng rát ở cổ họng. Khi đó, vi khuẩn miệng và các sản phẩm của chúng là những nhân tố gây ra mùi hôi khó chịu.
Theo nghiên cứu nha khoa, 24% bệnh nhân bị GERD sẽ bị xói mòn răng do dịch vị axit bởi trào ngược dạ dày hòa vào men răng gây ra. Để ngăn ngừa căn bệnh này, bạn hãy chú ý đến thực phẩm tiêu thụ hằng ngày như tránh ăn quá no, uống nhiều nước có gas, sử dụng các chất kích thích, đồ ăn cay nóng...

Căng thẳng, lo âu
Một trong những biểu hiện thường thấy của những người đang gặp lo âu, căng thẳng chính là nghiến răng. Hầu hết, thói quen này không gây ra những ảnh hưởng nghiêm trọng đến sức khỏe nhưng nếu tình trạng này diễn ra thường xuyên với cấp độ nặng thì có thể dẫn đến nhiều biến chứng cho răng miệng.
Theo thời gian, nghiến răng gây ra áp lực làm răng nhanh chóng bị bào mòn, hư hỏng và dễ nhạy cảm, đau nhức. Thậm chí ở mức độ nặng, bạn có thể xuất hiện những tình trạng mỏi, căng cơ hàm và đau nhức khi nhai, nuốt ảnh hưởng đến việc ăn uống hằng ngày.

Thiếu canxi, loãng xương
Nếu răng bạn đột nhiên bị lỏng, lung lay bất thường mặc dù đã qua tuổi thay răng thì đó chính là biểu hiện của tình trạng loãng xương. Theo Viện Quốc gia về Viêm khớp và Cơ xương, những người bị thiếu hụt canxi có thể dẫn đến tình trạng mất răng đột ngột gấp 3 lần so với thông thường. Bởi vì răng là một bộ phận cần các khoáng chất, canxi để nuôi dưỡng và phát triển, nếu không có những dưỡng chất này, chúng sẽ dễ yếu và nướu răng cũng không đủ khỏe mạnh để giữ răng lại.

Rối loạn ăn uống
Các nha sĩ đã có những phát hiện rằng, hậu quả tiêu cực của chứng chán ăn đối với răng miệng chính là sâu răng, bệnh về nướu răng, lở loét và khô miệng. Một trong những lý do cơ bản là thiếu hụt dinh dưỡng như canxi, sắt, vitamin B... Bên cạnh đó, khi bị rối loạn ăn uống, bệnh nhân thường xuất hiện những căn bệnh dạ dày, tiêu hoá là do lượng axit ở các cơ quan này dâng cao và làm mòn men răng, biến đổi màu sắc và hình dạng răng.
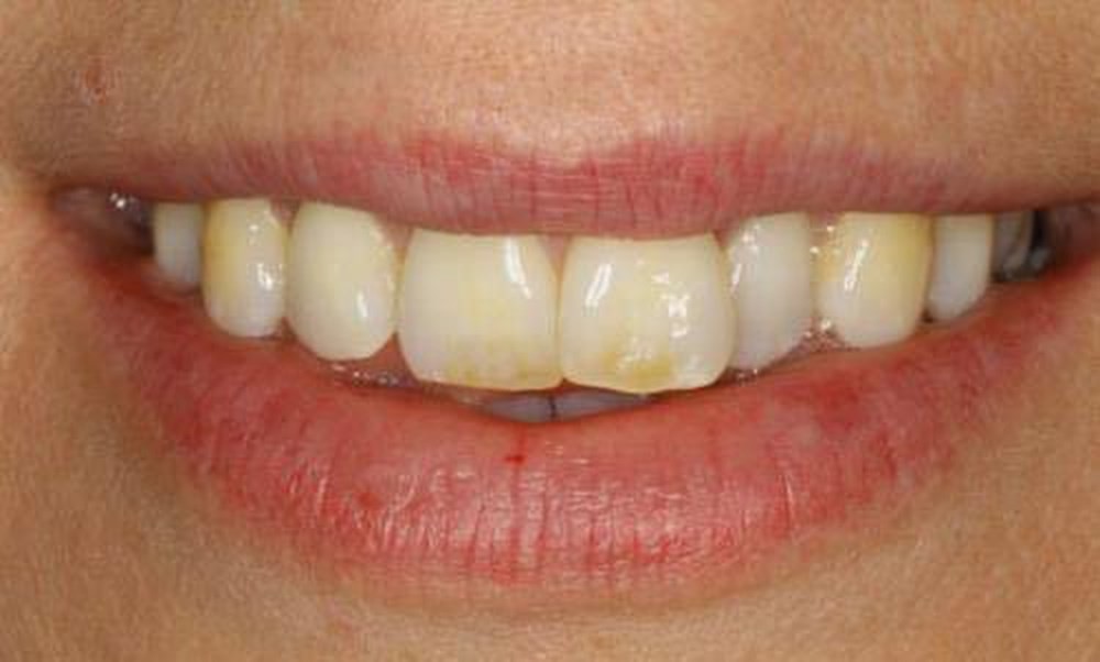
Hội chứng Celiac - Không dung nạp gluten
Theo Viện Y tế Quốc gia Mỹ, cách để xác định bệnh Celiac - một bệnh tự miễn gluten làm hư hỏng ruột non và các cơ quan tiêu hóa, là những thay đổi về răng miệng của bệnh nhân. Bệnh Celiac ảnh hưởng đến răng thông qua những biểu hiện răng xuất hiện các đốm màu khác lạ như vàng, trắng hoặc nâu. Nếu tình trạng nghiêm trọng, răng sẽ có những vết nứt, đặc biệt là ở răng cửa và răng hàm. Ngoài ra, các triệu chứng đáng lưu ý của bệnh Celiac có thể là lở loét miệng, lưỡi bị đỏ và khô miệng.

Nguồn: RD
.png)
By
14:02
0 nhận xét